Diş estetiği ve sağlamlığı söz konusu olduğunda, günümüzde en çok tercih edilen uygulamalardan biri zirkon tedavisidir. Hem doğal görünümüyle hem de uzun ömürlü yapısıyla öne çıkan bu yöntem, porselen kaplamalara alternatif olarak geliştirilmiştir. Özellikle ön diş estetiği, dayanıklılık ve diş eti uyumu açısından sunduğu avantajlarla dikkat çeker.
Peki zirkon tedavisi nedir, kimler için uygundur ve neden bu kadar tercih ediliyor? Bu yazımızda tüm detaylarıyla zirkon tedavisini ele alıyoruz.
Zirkonyum Nedir?
Zirkonyum, doğada bulunan beyaz renkli ve metal olmayan bir elementtir. Diş hekimliğinde kullanılan haliyle “zirkonya” olarak da bilinir. Yüksek ısıda işlenerek seramik yapıya dönüştürülen bu malzeme, hem sağlam hem de estetik görünümüyle ön plana çıkar.
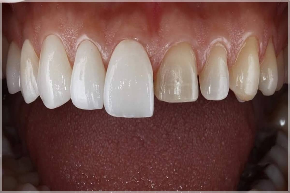
Zirkon kaplamalar, metal alt yapılı porselenlerden farklı olarak diş etinde gri yansıma yaratmaz. Bu sayede özellikle gülüş hattında yer alan dişlerde doğal bir görünüm elde edilir.
Zirkon kaplama, dişin yüzeyine zirkonyum esaslı seramiklerin uygulanmasıyla yapılan estetik bir tedavidir. Genellikle çürük, kırık, şekil bozukluğu veya renklenmiş dişlerin tedavisinde tercih edilir. Dişe minimal düzeyde müdahale edilerek hem estetik hem de fonksiyonel açıdan başarılı sonuçlar elde edilir.
Günümüzde zirkon kaplamalar, hem tekli diş restorasyonlarında hem de köprü protezlerinde yaygın şekilde kullanılmaktadır.
Kimlere Uygundur?
Zirkon tedavisi, hemen her yaş grubundaki yetişkin hastaya uygulanabilir. Özellikle:
-
Gülüş estetiğini önemseyenler,
-
Dişlerinde şekil ve renk problemi olanlar,
-
Metal destekli porselenlere karşı alerjisi olan bireyler,
-
Diş eti sağlığına önem verenler,
-
Önceden yapılmış kaplamalarının estetiğinden memnun olmayan hastalar,
için zirkon ideal bir seçenektir.
Ancak bruksizm (diş sıkma) problemi olan hastalarda özel yüzey işlemleri gerekebilir. Bu gibi durumlarda hekiminiz size özel bir planlama sunacaktır.
Zirkon Kaplamanın Avantajları Nelerdir?
Zirkon kaplamalar birçok açıdan geleneksel metal destekli porselenlere kıyasla daha üstündür. İşte başlıca avantajları:
-
Doğal Görünüm: Işık geçirgenliği sayesinde doğal diş gibi görünür. “Mat” ve “yapay” bir görüntü yaratmaz.
-
Diş Eti Uyumlu: Zirkonyum, diş etiyle mükemmel uyum sağlar. Metal alt yapılı kaplamalarda görülebilecek diş eti morarması yaşanmaz.
-
Alerji Yapmaz: Tamamen biyouyumlu bir materyal olduğu için vücut tarafından kolaylıkla kabul edilir.
-
Dayanıklıdır: Çiğneme kuvvetlerine karşı yüksek dirençlidir. Hem ön hem arka bölgede kullanılabilir.
-
Isı Yalıtımı Sağlar: Sıcak-soğuk hassasiyeti oluşturmaz.
-
Renk Sabitliği: Uzun yıllar boyunca rengini korur, sararma yapmaz.
Zirkon Tedavisi Nasıl Uygulanır?
Zirkon kaplama süreci genellikle 2 ila 3 seansta tamamlanır. Tedavi adımları şu şekildedir:
-
Muayene ve Planlama: İlk olarak dişin mevcut durumu değerlendirilir. Gerekirse röntgen çekilir ve hasta beklentileri dinlenir.
-
Dişin Hazırlanması: Uygulanacak diş(ler) minimal şekilde küçültülür ve ölçü alınır.
-
Geçici Kaplama: Ölçü laboratuvara gönderilirken, hastanın konforu için geçici kaplama uygulanır.
-
Kalıcı Kaplama: Laboratuvarda hazırlanan zirkon kaplama, prova edilir ve uyum kontrolü sağlandıktan sonra dişe kalıcı olarak yapıştırılır.
Tüm bu süreç, steril ve konforlu ortamlarda, hastanın ağrı hissetmeyeceği şekilde gerçekleştirilir.
Zirkon Kaplama ile Lamina (Yaprak Porselen) Arasındaki Fark Nedir?
Lamina porselen (yaprak porselen), sadece ön yüzeye uygulanan ince porselen tabakalarıdır ve daha minimal bir kesimle yapılır. Ancak zirkon kaplama, dişin her yüzeyine kaplama gerektirdiğinden daha geniş bir alanı kapsar.
-
Zirkon, daha çok dayanıklılık ve fonksiyon beklentisi olan hastalarda tercih edilir.
-
Lamina, daha çok estetik amacıyla ön dişlere uygulanır.
Hangisinin daha uygun olduğuna karar vermek için mutlaka uzman bir diş hekimi değerlendirmesi gereklidir.
Zirkon Kaplama Ne Kadar Süre Kullanılır?
Zirkon kaplamaların ortalama kullanım süresi 15-20 yıldır. Ancak bu süre, ağız hijyenine, düzenli diş kontrollerine ve kişisel alışkanlıklara göre değişebilir. Geceleri diş sıkma, sigara kullanımı veya sert gıdaların aşırı tüketimi bu süreyi kısaltabilir.
Doğru bakım ve düzenli kontrollerle zirkon kaplamalar uzun yıllar boyunca sorunsuz bir şekilde kullanılabilir.
Zirkon Tedavisi Ağrılı mıdır?
Hayır. Zirkon tedavisi sırasında uygulanan lokal anestezi sayesinde hasta işlem sırasında herhangi bir ağrı hissetmez. Sonrasında hafif bir hassasiyet oluşabilir, ancak bu geçicidir ve birkaç gün içinde tamamen kaybolur.
Zirkon Tedavisinden Sonra Dikkat Edilmesi Gerekenler
Tedavi sonrası kaplamanın ömrünü uzatmak için bazı basit kurallara dikkat etmek gerekir:
-
Günde en az 2 kez diş fırçalama alışkanlığı kazanılmalı
-
Diş ipi ve ara yüz fırçaları düzenli kullanılmalı
-
Sert kabuklu gıdalardan uzak durulmalı
-
Diş sıkma problemi varsa gece plağı kullanılmalı
-
6 ayda bir düzenli diş hekimi kontrolüne gidilmeli
Bu öneriler doğrultusunda kaplamalar uzun yıllar boyunca estetik ve işlevsel olarak sağlıklı kalacaktır.
Zirkon Kaplamalar Renk Değiştirir mi?
Zirkon kaplamaların en büyük avantajlarından biri de renk sabitliğidir. Zamanla kahve, çay, sigara gibi dış etkenlere karşı dirençlidir ve renk değişimi yaşanmaz. Bu da onları estetik diş tedavilerinde ön plana çıkarır.
Zirkon Kaplamanın Fiyatı Ne Kadar?
Zirkon tedavisinin maliyeti; kaç dişe uygulanacağına, kliniğin teknik donanımına, kullanılan zirkonun kalitesine ve hekimin deneyimine göre değişebilir. Ancak genel olarak metal destekli porselenlere göre daha maliyetli, fakat çok daha estetik ve uzun ömürlüdür.
Pendik Diş Kliniğimizde hem hastanın beklentisini hem de bütçesini gözeterek kişiye özel zirkon tedavi planları oluşturuyoruz. Tedaviye başlamadan önce detaylı muayene yapılmakta ve şeffaf bir fiyatlandırma sunulmaktadır.
Sonuç: Zirkon Tedavisi ile Doğal ve Sağlıklı Gülüşler
Zirkon tedavisi, hem estetik hem de dayanıklılık açısından modern diş hekimliğinin geldiği en üst noktalarından biridir. Özellikle ön diş estetiğine önem veren ve doğal bir görünüm arayan hastalar için zirkon kaplamalar en ideal çözümlerden biridir.
Unutmayın; diş tedavilerinde malzeme kadar hekimin tecrübesi ve kliniğin kalitesi de çok önemlidir. Zirkon tedavisi yaptırmayı düşünüyorsanız, mutlaka uzman diş hekimiyle görüşerek detaylı bilgi alın.








